2025-12-25 - الخميس
تيم الجرماشي: طفل سوري يبدع في الموسيقى ويخطف الأنظار nayrouz بومة ثلجية تصطاد في المراعي المتجمدة في منطقة منغوليا الداخلية...صور nayrouz يوفنتوس في مفاوضات متقدّمة لضم فراتيسي من الانتر nayrouz ترامب يفجّر غضب المواطنين في واشنطن.. إليك التفاصيل nayrouz خضر ألمانيا يطالبون بإلزام المتاجر الكبرى بالمشاركة في تطبيق لمقارنة أسعار المواد الغذائية nayrouz مؤرخة حقوقية: روسيا في عهد بوتين أقل استقرارًا من الاتحاد السوفيتي nayrouz بيان عاجل من الكلية العسكرية العراقية بجامعة الدفاع nayrouz الأرصاد: منخفض جوي ماطر وطويل التأثير يبدأ السبت ويشتد الأحد والاثنين nayrouz ديوان المحاسبة : سنركز على القطاعات التي تهم المواطنين nayrouz لماذا انخفض عدد التجاوزات المرصودة في تقرير ديوان المحاسبة الجديد ؟ .. الحمادين يوضح nayrouz وزارة التربية: 300 دينار رسوم فصلية للطلبة غير الأردنيين اعتبارا من 2026 nayrouz نقيب المحامين يبرر رفع رسوم التأمين الصحي nayrouz عائلة الصاروم تحتفل بتخرّج الدكتور أسامة بكر الصاروم الخضير من جامعة المنصورة - صور nayrouz استمرارًا للأداء المتميز… لمنتخب رفع الاثقال الاردني حمزة أبو حميدان يحصد 6 ميداليات في مشاركتي غرب آسيا والبطولة العربية nayrouz الأشغال العامة تستضيف برنامجاً تدريبياً متخصصاً لتطوير وحدات الرقابة والتدقيق الداخلي بالشراكة مع ديوان المحاسبة nayrouz المرحلة الذهبية لدوري المحترفات تنطلق غدًا nayrouz ديوان الملكاوية في عمّان يكرّم سيدات ملكاويات متميّزات بإنجازات وطنية وعالمية...صور nayrouz مختصون: منع المقابلات بعد امتحان "الثانوية" يحافظ على الاستقرار النفسي للطلبة nayrouz جيشٌ صلب وخط سيادة لا يُكسر nayrouz نبيل أبوالياسين : لـ "نيروز" الاختبار النهائي .. الجنائية الدولية أمام تحدّي الإفلات من العقاب nayrouz
وفيات الأردن اليوم الخميس 25-12-2025 nayrouz رئيس جامعة العقبة للتكنولوجيا ينعى وفاة الزميل المهندس محمد العمايرة nayrouz الحديدي يعزي بوفاة العقيد المتقاعد حامد محمد الخليفات nayrouz الموت يغيب الممثل القدير والمخرج الفلسطيني محمد بكري nayrouz وفاة الشاب محمد العمايرة في حادث سير بالعقبة nayrouz شكر على تعاز من عائلة الناصر / خضير/ بني صخر. nayrouz فرج عبد الرحيم الفرج أبو رمان "أبو محمد " في ذمة الله nayrouz وفيات اليوم الاربعاء الموافق 24-12-2025 nayrouz وفاة الحاجة فضية زوجة المرحوم علي عافي الفريوان الجبور nayrouz مرزوق أمين الخوالدة يرثي خالته nayrouz وفاة الحاج مخلد سليمان الجبور nayrouz وفاة والدة معالي الدكتور ياسين الخياط nayrouz وفاة الحاجة رسمية عبدالله مفلح ارشيد الطيب "ام رائد" nayrouz وفيات الأردن اليوم الثلاثاء 23-12-2025 nayrouz الخريشا تشكر الملك وولي العهد على تعازيهم بوفاة المهندس راشد بدر الخريشا nayrouz شكر على تعاز nayrouz وفاة الحاجة عطفة محمد البشير الغزاوي (( ام ايمن )) nayrouz تعزية لرئيس لجنة بلدية حوض الديسة بالإنابة بوفاة عمه هارون الزوايدة nayrouz لفتة وفاء وأخوة.. متقاعدو الإعلام العسكري يعزّون بوفاة الشاب عامر سعود الناصر الخضير nayrouz وفيات الأردن اليوم الإثنين 22-12-2025 nayrouz

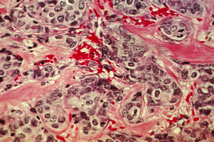
ابتكار مجهر لرؤية خلايا سرطانية بحجم جزء من 100 من المليمتر

{clean_title}
نيروز الإخبارية :

تمكَّن علماء من ابتكار مجهر لرؤية خلايا سرطانية بحجم جزء من 100 من المليمتر.

وأوضح العلماء، الذين ينتمون إلى جامعة «إمبريال» في لندن، أن المجهر الجديد من شأنه أن يسرع علاج سرطان الثدي، حسبما أفاد موقع «الشرق الأوسط» نقلاً عن صحيفة «إندبندنت» البريطانية.



وذكروا أن قطر المجهر يبلغ أقل من 1 مم، أي نحو عرض 25 شعرة بشرية، ويمكن تحريكه في مساحات صغيرة داخل الجسم أثناء الجراحة، وهو مصمم لتقديم رؤية واضحة للجراحين عن الأنسجة والأعضاء.

وقال الفريق إن الجهاز كان قادراً على إنتاج صور من داخل الأنسجة «بسرعة غير مسبوقة».

وهذا المجهر، الذي طوره الدكتور خوشي فياس وزملاؤه في الجامعة، سيساعد الجراحين على تحديد الخلايا السرطانية التي يبلغ حجمها جزء من مئة من المليمتر بمعدل أسرع بكثير من الطرق التقليدية.

وفسَّر الفريق أن ذلك سيساعد على تقليل الحاجة إلى عمليات المتابعة لإزالة الخلايا السرطانية التي لم يتم كشفها في السابق.

وسيساعد المجهر أيضاً أثناء الجراحة في الحفاظ على الثدي، حيث سيتمكن الجراح من استئصال السرطان مع ترك أكبر قدر ممكن من الثدي الطبيعي.

وأكد المطورون أن استخدام الجهاز سيساعد الجراحين على تحديد الأنسجة المشبوهة حول الأورام بسرعة وبدقة كبيرة، حيث يحدث المجهر الداخلي ما يصل إلى 120 لقطة في الثانية.

ويتم دعم تطوير الجهاز من قبل مجلس أبحاث الهندسة والعلوم الفيزيائية، وهو جزء من البحث والابتكار في المملكة المتحدة.

وقال الدكتور كيدار بانديا، مدير البرامج المشتركة في المجلس: «من خلال تقليل الوقت المستغرق للتعرف إلى الخلايا السرطانية وتحسين دقة التصوير، يمكن أن يفيد المجهر الداخلي الذي طوره الدكتور فياس وفريقه المرضى ويقلل أيضاً من قوائم الانتظار».

وأوضح الدكتور خوشي فياس أن «هدفنا هو المضي قدماً في التجارب السريرية، بهدف أن يصبح النظام متاحاً للنشر في غضون خمس سنوات تقريباً».

واستخدم الباحثون نظامهم لإجراء دراسات أولية على الأنسجة السرطانية البشرية ويقومون باختبار استخدامه من قبل الجراحين واختصاصيي علم الأمراض على عينات معملية من الأنسجة السرطانية.