2026-04-08 - الأربعاء
هجوم مباغت على إيران عقب إعلان اتفاق وقف إطلاق النار مع الولايات المتحدة.. ورد إيراني مفاجئ nayrouz عاجل: مئات الضحايا في أعنف هجوم إسرائيلي على لبنان بعد وقف اطلاق النار مع إيران nayrouz عاجل: إعلان عسكري لوزارة الدفاع السعودية بعد ساعات من اتفاق وقف الحرب بين إيران والولايات المتحدة nayrouz الحويدي تبحث جاهزية مراكز امتحانات الثانوية العامة وتؤكد استكمال الاستعدادات اللازمة nayrouz ولي العهد السعودي ونظيره الكويتي يستعرضان هاتفيا مستجدات الأوضاع في المنطقة nayrouz الكعابنة يهنئ الحاج نايل الذيابات بمناسبة زفاف نجليه nayrouz جرش توحّد جهودها للاحتفال بالعلم الأردني: رمز العزة والانتماء الوطني nayrouz حملة نظافة في منطقة الجنادية ببرما لتعزيز الوعي البيئي والحفاظ على جمالية الموقع nayrouz ورشة تدريبية لمعلمي الرياضة ضمن مشروع “كرة القدم للمدارس الأقل حظاً” في جرش nayrouz مدير التربية والتعليم والثقافة العسكرية يكرم عددا من كوادر مركز التميز في الجامعة الأردنية nayrouz برنامج "لقاء الأسبوع" يستضيف مدير عام شركة جوبترول للحديث عن قطاع المنتجات البترولية nayrouz أورنج الأردن تطلق النسخة المحلية العاشرة من جائزة Orange للمشاريع الريادية المجتمعية لعام 2026 nayrouz المدارس العمرية تُحيي يوم الكرامة برعاية محافظ الزرقاء وبحضور رسمي وتربوي nayrouz جامعة الزرقاء تنظم جلسة حوارية حول قانوني الأحزاب والانتخاب الجديدين nayrouz هبوط النفط يعزز مكاسب الأسواق العالمية بعد إعلان الهدنة nayrouz تهنئة للدكتور منذر جردات بتوليه رئاسة الاعتماد الصحفي والإعلامي في هيئة الإعلام nayrouz الدكتور علي الحوامدة… سيرة رجلٍ من طيب الأصل وعنوانٌ للإنسانية nayrouz إنجاز مميز لفريق الكلية الجامعية العربية للتكنولوجيا للشطرنج في بطولة الكليات nayrouz الرقاد يكتب الجيش العربي.. عقيدة وطن ودرع لا ينكسر nayrouz ترامب: شهدت إيران تغييرا مفيدا للغاية في نظام الحكم nayrouz
وفيات الأردن اليوم الأربعاء 8-4-2026 nayrouz وفاة الطالبة روز علي المناعسة تُحزن الأسرة التربوية في لواء ناعور nayrouz الخريشا تنعى شقيق المعلمة فاتن البكار nayrouz وفيات الأردن ليوم الثلاثاء الموافق 7-4-2026 nayrouz عشيرة المومني تنعى الفقيد باجس أحمد الباجس (أبو أحمد) nayrouz وفاة هند محمد ندى الخزون الزبن وتشييع جثمانها اليوم في خان الزبيب nayrouz وفاة حسين قفطان بن عرار الجازي “أبو عمر” إثر نوبة قلبية nayrouz وفيات الأردن اليوم الإثنين 6-4-2026 nayrouz عشائر الحجاوي وآل نوفل تنعى الحاج وائل الحجاوي (أبو محمد) nayrouz وفاة " السفير السوداني حسن آدم " بعد مسيرة وطنية حافلة بالعطاء والخدمة العامة المخلصة nayrouz الجبور يعزي رجل الأعمال عدنان مسامح بوفاة والدته nayrouz وفيات الأردن اليوم الأحد 5-4-2026 nayrouz وفاة الدكتور عرفات العلاونة مساعد مديرة صحة إربد nayrouz عشيرة الطحان تشكر الرفاعي والصفدي والعودات والقيسي على تعازيهم nayrouz بلدية الموقر تعزي الزميلة عبير الشريفين بوفاة شقيقها nayrouz وفيات الأردن اليوم السبت 4-4-2026 nayrouz وفاة الزميل الصحفي السوداني محمد المهدي nayrouz وفيات الأردن اليوم الجمعة 3-4-2026 nayrouz العميد فواز الخوالدة يشارك في تشييع جثمان الرقيب عبدالقاهر السرحان - صور nayrouz اللواء المتقاعد إسماعيل الشوبكي يعزي بوفاة العقيد المتقاعد عصام الكفاوين nayrouz

في حالة نادرة.. مصاب بكورونا يفقد بصره مؤقتا

{clean_title}
نيروز الإخبارية :
في حالة نادرة ومفاجئة لكيفية عبث فيروس كورونا بالجهاز المناعي للجسم، فقد رجل أميركي بصره في العين اليمنى ليومين جراء إصابته بالفيروس.

وفي بحث نشر في مجلة "JAMA لطب العين والأذن"، شخص الأطباء إصابة الرجل، البالغ 70 عاما، بكورونا بعد معاناته من سيلان الأنف، وبعد أسبوعين تعافى لكنه ظل يعاني من صداع شديد قبل أن يتطور الأمر إلى فقدان بصره في العين اليمنى.

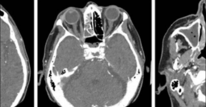
وأظهر التصوير المقطعي أن مصدر معاناة المريض هو التهاب للجيوب الأنفية يمتد إلى الجانب الأيمن من وجهه.

 

وكانت الحالة خطيرة للغاية، بدأت في التسبب في تآكل العظام، مما استلزم إجراءً طارئًا لإزالة أكبر قدر ممكن من الأجزاء الملتهبة في تجاويف الأنف.

 

كما أظهر التشخيص وجود بكتيريا في الأنسجة تسمى "كونستيلاتوس المكورات العقدية"، عادة ما تتواجد فقط في الأمعاء وتجويف الفم، ويمكن أن تشكل خطورة كبيرة في حال انتقلت إلى أجزاء أخرى من الجسم.

 

ونجح الأطباء في معالجة المريض بعد إعطائه مضادات حيوية، واسترجع بصره، كما تحسنت حالته في غضون ثلاثة أسابيع من العلاج.

 

وقال الأطباء إن حالة المريض تدفع إلى طرح سؤال مثير عن علاقة كورونا بهذه الأعراض، في وقت يواصل فيه الفيروس مفاجئة الأطباء بأعراض نادرة.

 

ويواصل فيروس كورونا  حصد ضحاياه في جميع أنحاء العالم، ووصلت الحصيلة إلى 4,472,486 وفاة في العالم منذ أبلغ مكتب منظمة الصحة العالمية في الصين عن ظهور المرض نهاية ديسمبر 2019.

 

وتأكدت إصابة 214,500,660 شخصاً على الأقل بالفيروس منذ ظهوره. وتعافت الغالبية العظمى من المصابين رغم أن البعض استمر في الشعور بالأعراض بعد أسابيع أو حتى أشهر.